发布时间:2019-09-18 浏览:1293 次
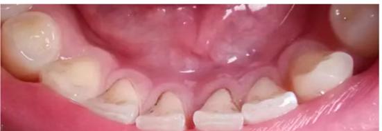
有人会发现,自己的牙齿表面突然出现一点黑点,但是也不觉得疼,是什么原因导致牙齿变黑?如果牙齿出现黑点且不痛有两种可能性。

一种是色素沉着,如烟渍、茶渍、咖啡渍等,刷牙很难刷掉,可通过洁牙去除。

另一种则是牙齿出现了或深或浅的龋坏,从外面看就表现为一个黑点,通常位于窝沟。我们如果多留心自己的牙齿,完全可以把龋坏扼杀在萌芽阶段。如何才能及时发现这种隐匿的蛀牙呢?建议每半年到正规医院进行一次口腔检查。

一旦确认牙齿上的小黑点是龋齿就应该尽早治疗,以阻止继续病变。如果任由其继续发展就会变成明显的龋洞,这时患者会对冷热酸甜等食物刺激敏感;当损伤进一步到达牙髓(即常说的“牙神经”),就会疼痛难忍,严重影响日常生活。临床上见到很多人都会等到牙痛得受不了,才到医院就诊。这时通常不能靠单纯补牙来解决问题,可能还要做根管治疗甚至拔除患牙、进行假牙修复,费时费力又费钱,人还遭罪,可谓“小洞不补,大洞吃苦”。
因此,平时应注意自检,观察牙齿颜色、形状的变化,还要每半年进行全面的口腔检查,如果有龋齿,就应该早发现早治疗。
日常护牙小贴士
1
正确的日常刷牙方法
每天早晚都要刷牙,早晚各3分钟。如果有条件的话,刷牙之后使用牙线清洁牙缝。每隔半年到一年到正规医院清洗牙齿。

2
进食后要漱口
进食后口腔内的酸性物质会增加导致牙齿被腐蚀,碳酸饮料造成的损害会加倍。进食后可以使用温水漱口,减少食物残渣,也可减少细菌侵蚀牙齿。
3
多喝水
人体70%都由水分构成,多喝水不仅能够保持身体健康,还能够刺激唾液分泌,中和酸性、杀灭细菌,提高口腔中的清洁度。